AREE MEDICHE E PERCORSI TERAPEUTICI
Endodonzia
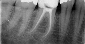
Detersione, sagomatura
e chiusura tridimensionale del canale.
e chiusura tridimensionale del canale.
ALTRE SPECIALIZZAZIONI
Endodonzia
È quella branca dellʼodontoiatria che studia le comunemente dette devitalizzazioni: questo è il punto di partenza principale della maggior parte dei piani di trattamento protesici sui denti naturali ed è quindi estremamente importante una corretta esecuzione nei tempi e nelle tecniche per la durata a lungo termine del trattamento protesico finale.
Anche in questo settore la tecnologia dà una mano con nuove strumentazioni, quali i rivelatori apicali e le strumentazioni meccaniche (non più solo manuali) per ottenere i tre punti fondamentali per il successo: detersione, sagomatura e chiusura tridimensionale del canale.






