CASE HISTORY | I RISULTATI DEI NOSTRI PAZIENTI

CASE HISTORY
- Ortodonzia intercettiva (in età pediatrica)
- Grande rialzo del seno mascellare
- Riabilitazione implantare complessa
- Ortodonzia estetica fissa linguale
- Rigenerazione ossea con blocco
- Ortodonzia invisibile e protesi in area estetica
- Ortodonzia invisibile
- Impianto singolo a carico immediato
- Ceramiche integrali incisivi superiori
- Da protesi mobile a implantologia
- Ortodonzia, implantologia e protesi in area estetica
- Faccette ceramica integrale
- Otturazioni area estetica
- Impianto incisivo laterale immediato
- Protesi estetica
- Riabilitazione estetica dell'arcata superiore
- Impianti a carico immediato
- Smile Design
- Pre-visualizzazione
- Recessioni gengivali e ceramiche integrali
- VAI ALL'ARCHIVIO
Parla col medico
Contatta il dott. Angiola per una consulenza
o un appuntamento conoscitivo.
o un appuntamento conoscitivo.
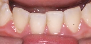
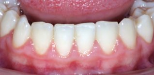
Ortodonzia invisibile
Trattamento ortodontico con mascherine invisibili.
Modesto disallineamento dentale risolto rapidamente utilizzando mascherine ortodontiche trasparenti.
Il vantaggio di questi trattamenti, oltre che nell'estetica, è rappresentato dal comfort e dalla facile gestione della pulizia delle apparecchiature ortodontiche.
Photo gallery
clicca sulle immagini per ingrandirle








